Ecografías de Embarazo

Ecografistas de Calidad a tu alcance

¡Ven por tu Ecografía, veamos juntos a tu bebé!

El embarazo es un proceso muy emocionante, pero también tiene riesgos, por esa razón es muy importante que evaluemos a tu bebé paso a paso para asegurarnos que todo vaya bien con su desarrollo.

Dr. Germán Vecchini Marquina

Dr. Vecchini, Médico Providencia, Ginecólogo Obstetra en Providencia, médico ecografista

Matrona Begoña Vio

Matrona Begoña Vio, matrona ecografista

Ecografías Importantes

Embarazo Inicial

Hasta las 12 Semanas

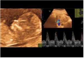
Doppler de Embarazo

11-13+6 / 22-24 / 30-34 Semanas

Ecografía Obstétrica

15 a 39 Semanas

Para qué sirve la Ecografía Doppler

Sirve para medir flujos internos de las arterias uterinas y con ello medir riesgos hipertensivos en la madre, además de buscar en ciertas semanas marcadores de riesgos cromosómicos como síndrome de down, turner, etc.

Cuándo es bueno realizar el Eco 4D?

Se puede realizar durante todo el embarazo, pero es más bonito el resultado entre las semanas 24 a las 32, después el bebé tiene poco espacio, por lo que es más complejo hacer tomas bonitas.

El precio de la Ecografía 3D/4D es de $50.000, la Ecografía 5D vale $70.000, ambas son Particulares, debido a que no tienen códigos en Isapres ni Fonasa.

¿Necesitas Orden Médica?

Te esperamos en Providencia

Estamos ubicados en la salida A del Metro Tobalaba, sobre la Notaria Fernando Celis Urrutia, Edificio Portezuelo

Puedes venir con un acompañante adulto.

Horarios

Lunes a Viernes 9:00 a 18:00 y Sábado de 9:00 a 14:00

Dirección

Presidente Errázuriz Echaurren 2631, Oficina 24, piso 2. Providencia, Salida A Metro Tobalaba.
22 684 7452

Esta web utiliza cookies propias para su correcto funcionamiento. Contiene enlaces a sitios web de terceros con políticas de privacidad ajenas que podrás aceptar o no cuando accedas a ellos. Al hacer clic en el botón Aceptar, acepta el uso de estas tecnologías y el procesamiento de tus datos para estos propósitos. Más información
Privacidad